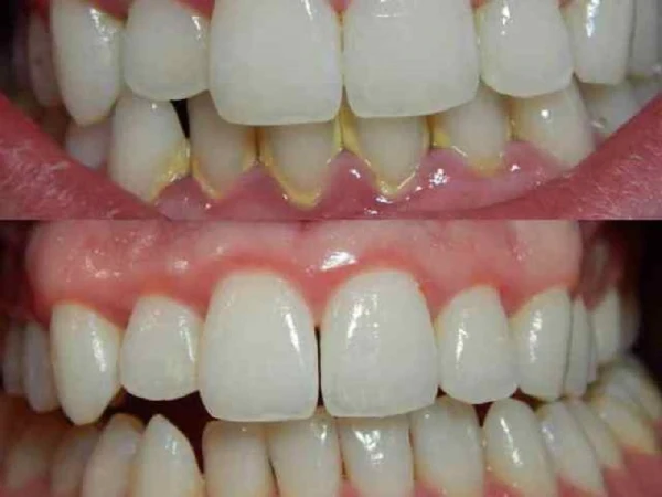
Протрите зубы и десна этими двумя маслами, и Вам больше не придется идти к стоматологу!
Эфирные масла являются главным ингредиентам в ароматерапии и различных традиционных медицинах. Они богаты полезными свойствами и очень полезны для общего здоровья. Но вы наверняка не знали, что эфирные масла также обладают преимуществами для зубов и десен.
Согласно журналу “International Oral Health”, эфирные масла предотвращают зубной камень, устраняют пятна, убивают бактерии и поддерживают здоровье зубов и десен. Итак, эти эфирные масла, являются одними из самых мощных - масло чайного дерева и гвоздичное масло.
МАСЛО ЧАЙНОГО ДЕРЕВА
Масло чайного дерева обладает антибактериальными, противогрибковыми, противовирусными и антипротозойными свойствами. Вот почему оно эффективно борется с бактериями, дрожжевыми грибками, инфекциями и облегчает симптомы гингивита. Кроме того, эфирное масло чайного дерева устраняет неприятный запах изо рта и поддерживает здоровье полости рта.
ГВОЗДИЧНОЕ МАСЛО
Масло гвоздики содержит эвгенол, который используется в стоматологии в качестве обезболивающего средства. Это вещество может влиять почти на все системы организма. Эфирное масло гвоздики обладает антиоксидантными и противовоспалительными свойствами, которые полезны для здоровья полости рта.
Теперь, когда вы знаете про достоинства этих двух эфирным масел, узнайте, как их использовать. Этот простой и эффективный метод должен стать частью вашей повседневной жизни.
РАСТВОР ИЗ МАСЛА ГВОЗДИКИ И ЧАЙНОГО ДЕРЕВА
Вы должны использовать этот раствор каждый день. Для его приготовления смешайте 2 капли этих масел с кокосовым маслом. Протирайте раствором зубы и десна два раза в день. Он предотвратит кариес, гингивит и неприятный запах изо рта.

спасибо
ОтветитьУдалить